ΠΕΡΙΟΔΟΝΤΙΤΙΔΑ

Ποια συμπτώματα συνήθως συνοδεύουν την περιοδοντίτιδα;

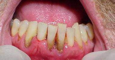
Tα συμπτώματα που συνήθως συνοδεύουν την περιοδοντική νόσο είναι:

  1. Ούλα που ματώνουν στο βούρτσισμα ή από μόνα τους
  2. Κόκκινα, πρησμένα ή ευαίσθητα ούλα
  3. Ούλα που έχουν υποχωρήσει (υφίζηση ούλων)
  4. Κινητικότητα δοντιών (άλλοτε μικρή και άλλοτε μεγάλη)
  5. Ούλα που έχουν αποκολληθεί από το δόντι
  6. Μετανάστευση (μετακίνηση) δοντιών
  7. Επίμονη δυσοσμία
  8. Πύον ανάμεσα στο δόντι και τα ούλα

Ποιοι παράγοντες προδιαθέτουν την περιοδοντίτιδα;

  1. Μη αποτελεσματική απομάκρυνση της οδοντικής πλάκας από τα δόντια
  2. Κάπνισμα
  3. Μη ελεγχόμενος διαβήτης
  4. Κληρονομικότητα
  5. Άγχος και Στρες
  6. Συστηματικά νοσήματα
  7. Ασθένειες που επηρεάζουν το ανοσοποιητικό σύστημα (π.χ. aids)
  8. Ορμονικές διαταραχές
  9. Τραυματική σύγκλειση
  10. Κακή στοματική υγιεινή

Πώς γίνεται η θεραπεία της περιοδοντίτιδας;

Α. Συντηρητική θεραπεία

Η συντηρητική θεραπεία γίνεται με ειδικά περιοδοντικά εργαλεία και σύγχρονο σύστημα υπερήχων απομακρύνοντας από τη ρίζα του δοντιού την πέτρα, τα μικρόβια και τις τοξίνες, ανώδυνα με τοπική αναισθησία.

Ο ασθενής δεν νιώθει πόνο ούτε κατά την διάρκεια της διαδικασίας, ούτε μετά στο σπίτι.

Το μειονέκτημα είναι ότι η θεραπεία αυτή έχει πεπερασμένες ικανότητες να επιλύσει πλήρως το περιοδοντικό πρόβλημα, με αποτέλεσμα η καταστροφή να συνεχίζεται με πιο αργό ρυθμό.

Συνήθως απαιτούνται 2 – 3 επισκέψεις. Δίνονται οδηγίες στοματικής υγιεινής στον ασθενή (σωστός τρόπος βουρτσίσματος δοντιών, μεσοδόντια βουρτσάκια και ορισμένες φορές στοματικό διάλυμα ή / και gel χλωρεξιδίνης)

Ο ιδανικός χρόνος για την αξιολόγηση των αποτελεσμάτων της συντηρητικής περιοδοντικής θεραπείας είναι 3 μήνες.

Β. Χειρουργική θεραπεία

Σε ορισμένες περιπτώσεις, όπου η περιοδοντική νόσος έχει προχωρήσει αρκετά, είναι απαραίτητο, μετά την συντηρητική θεραπεία, να επακολουθήσει, σε επιλεγμένα σημεία του στόματος, χειρουργική διευθέτηση.

Η χειρουργική θεραπεία, όταν απαιτείται, πάντοτε ακολουθεί την συντηρητική.

Γίνεται κρημνός (ανοίγονται τοπικά τα ούλα με μικροχειρουργικές μεθόδους), διευθετούνται οι ιστοί και μετά γίνεται η συρραφή τους (ράβονται).

Τα πλεονεκτήματα της χειρουργικής θεραπείας είναι η αναγέννηση χαμένων περιοδοντικών ιστών ορισμένες φορές, η μείωση των περιοδοντικών θυλάκων, η ευκολότερη πρόσβαση στη επιφάνεια της ρίζας του δοντιού, όπου υπάρχει εναπόθεση πέτρας, και ο ακριβέστερος καθορισμός της πρόγνωσης.

Ο ασθενής νοιώθει πόνο μετά την επέμβαση. Το μειονέκτημα είναι ότι παρουσιάζονται ευαισθησίες στα δόντια, στο κρύο και στο ζεστό μετά την επέμβαση και μέχρι την επούλωση.

Χειρουργός Οδοντίατρος - Παναγιώτου Ελένη

Η Ελένη Παναγιώτου του Ζήση γεννήθηκε το 1986 στη Θεσσαλονίκη. Εισήχθη στην Οδοντιατρική Σχολή του Αριστοτελείου Πανεπιστημίου Θεσσαλονίκης το 2004 και αποφοίτησε το 2010. Εργάστηκε επί πενταετίας σε περιοδοντολογικό ιατρείο στο κέντρο της Θεσσαλονίκης.Το 2011, κατόπιν εξετάσεων, εισήχθη στο τριετές μεταπτυχιακό πρόγραμμα της Οδοντοφατνιακής Χειρουργικής, Χειρουργικής Εμφυτευματολογίας και Ακτινολογίας της Οδοντιατρικής Σχολής του Α.Π.Θ., από όπου και έλαβε την ειδικότητα της Χειρουργού Στόματος εκπονώντας τη διπλωματική της διατριβή στο αντικείμενο των μικρού μήκους εμφυτευμάτων.