ΣΦΡΑΓΙΣΜΑΤΑ (ΕΜΦΡΑΞΕΙΣ)

Η τερηδόνα είναι μία οδοντική νόσος που καταστρέφει την αδαμαντίνη, η οποία αποτελεί το αρχικό στρώμα των δοντιών. Ακολούθως, συνεχίζει να επεκτείνεται, ώσπου να φτάσει στο μέρος που βρίσκεται το νεύρο (ο πολφός) κάθε δοντιού και σταδιακά το καταστρέφει ολοσχερώς. Ο πόνος στην προκειμένη περίπτωση είναι οξύς, αφόρητος και πιθανά το δόντι να χρειαστεί απονεύρωση ή ακόμα και εξαγωγή. Οι ιστοί που καταστρέφει η τερηδόνα δεν αναγεννώνται, όμως η επέκταση της νόσου και οι επιπλοκές της μπορούν να αποτραπούν με την τοποθέτηση των σφραγισμάτων.

Ποια είναι τα υλικά των εμφράξεων;

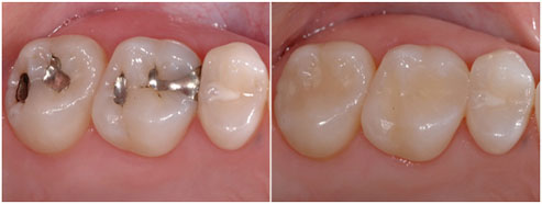
Τα μόνιμα υλικά εμφράξεων είναι η σύνθετη ρητίνη (λευκά σφραγίσματα) και το αμάλγαμα (μαύρα σφράγισμα). Επειδή η αισθητική είναι καθοριστικός παράγοντας των εργασιών μας, στο οδοντιατρείο μας χρησιμοποιούμε αποκλειστικά ρητίνη. Παλιά επικρατούσε η πεποίθηση ότι τα πολυμερή υλικά (σύνθετη ρητίνη) είναι, από πλευράς αντοχής, υποδεέστερα του αμαλγάματος, γεγονός αναληθές λόγω του ότι η σύνθεσή τους πλέον τους αποδίδει μεγάλη αντοχή.

Επίσης, το αμάλγαμα έχει συνδεθεί κατά καιρούς με διάφορα δυσάρεστα ευρήματα. Έχουν δημοσιευθεί έρευνες οι οποίες υποστηρίζουν ότι η εμφάνιση λειχήνα στη στοματική κοιλότητα συνδέεται άμεσα με την ύπαρξη εμφράξεων από αμάλγαμα. Επιπλέον, σε άλλη έρευνα, αναφέρεται ότι το ανώτερο επιτρεπτό όριο είναι τέσσερις εμφράξεις αμαλγάματος σε μία στοματική κοιλότητα, λόγω της περιεκτικότητάς του σε υδράργυρο. Αξίζει να σημειωθεί ότι η συγκράτηση του αμαλγάματος από τον οδοντικό ιστό είναι αμιγώς μηχανική, ενώ της ρητίνης είναι χημική. Αυτό με απλά λόγια σημαίνει ότι για να κάνουμε ένα σφράγισμα από αμάλγαμα το δόντι πρέπει να τροχιστεί πολύ περισσότερο  και με συγκεκριμένο τρόπο, απ’ ότι θα τροχιζόταν αν κάναμε σφράγισμα ρητίνης.

Θα πρέπει να επισημάνουμε ότι πλέον υπάρχουν τεχνικές για εμφράξεις κατά τις οποίες δεν απαιτείται ούτε αναισθησία ούτε η χρήση τροχού, άλλα η εφαρμογή αυτών των τεχνικών δεν μπορεί να γίνει σε όλες τις περιπτώσεις.

Πρέπει να αντικαταστήσω τα παλιά μαύρα σφραγίσματα που έχω με λευκά;

Πολλοί ασθενείς με παλαιές αποκαταστάσεις από αμάλγαμα επισκέπτονται τον οδοντίατρό τους για να τα απομακρύνουν και να τα αντικαταστήσουν με λευκά. Οι λόγοι αντικατάστασης ενός σφραγίσματος από αμάλγαμα είναι οι ακόλουθοι:

1. ο επανατερηδονισμός (όταν χαλάσει το δόντι εκεί που ενώνεται με το σφράγισμα)

2. ο φόβος για την τοξικότητα του υδραργύρου που περιέχει, το οποίο απελευθερώνεται με την πάροδο του χρόνου

3. η αισθητική βελτίωση του στόματος

4. η εμφάνιση κάποιου προβλήματος, όπως η αποκόλληση του σφραγίσματος από το δόντι, το κάταγμα του σφραγίσματος ή του δοντιού κ.α.

Σε κάθε περίπτωση, εάν η μεταλλική έμφραξη έχει φτάσει στο όριο της ζωής της, εμφανίζονται κλινικά προβλήματα, ενώ παράλληλα ο ασθενής μπορεί να έχει διάφορα συμπτώματα (ευαισθησία σε θερμικά ερεθίσματα, πόνος κ.α.). Αυτά αυτόματα σημαίνουν πως το σφράγισμα χρήζει άμεσης αντικατάστασης.

Συμπερασματικά, όποτε τίθεται το θέμα αντικατάστασης των εμφράξεων αμαλγάματος συμβουλεύουμε τους ασθενείς μας ως εξής:

Ναι, όταν υπάρχει λόγος όπως κάταγμα, αποκόλληση, φθορά, λειτουργικά προβλήματα, ή όταν η αισθητική είναι το ζητούμενο.

 

Όχι, αν η έμφραξη είναι σε καλή κατάσταση, ασυμπτωματική, λειτουργικά σωστή και δεν επιβαρύνει πολύ την αισθητική.     

Χειρουργός Οδοντίατρος - Παναγιώτου Ελένη

Η Ελένη Παναγιώτου του Ζήση γεννήθηκε το 1986 στη Θεσσαλονίκη. Εισήχθη στην Οδοντιατρική Σχολή του Αριστοτελείου Πανεπιστημίου Θεσσαλονίκης το 2004 και αποφοίτησε το 2010. Εργάστηκε επί πενταετίας σε περιοδοντολογικό ιατρείο στο κέντρο της Θεσσαλονίκης.Το 2011, κατόπιν εξετάσεων, εισήχθη στο τριετές μεταπτυχιακό πρόγραμμα της Οδοντοφατνιακής Χειρουργικής, Χειρουργικής Εμφυτευματολογίας και Ακτινολογίας της Οδοντιατρικής Σχολής του Α.Π.Θ., από όπου και έλαβε την ειδικότητα της Χειρουργού Στόματος εκπονώντας τη διπλωματική της διατριβή στο αντικείμενο των μικρού μήκους εμφυτευμάτων.